Сучасні методи відновлення посмішки: що варто знати про імплантацію
Одним із найпопулярніших методів є імплантація зубів, яка дозволяє відновити втрачені зуби максимально природньо

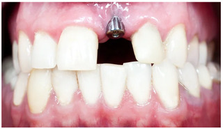
Втрата зубів — не лише естетична проблема, а й питання здоров’я ротової порожнини. Сучасна стоматологія пропонує різні методи відновлення посмішки, які дозволяють повернути комфорт під час їжі, впевненість у спілкуванні та гарний зовнішній вигляд.
Переваги імплантації зубів
Одним із найпопулярніших методів є імплантація зубів Київ, яка дозволяє відновити втрачені зуби максимально природньо. Основні переваги цього методу:
- Надійна фіксація в кістці щелепи
- Тривалий термін служби імплантів
- Збереження здорових сусідніх зубів
- Комфортна процедура безболісного встановлення
Сучасні методи імплантації
Крім класичних імплантів, сучасні клініки пропонують альтернативи, серед яких:
1. Міні-імпланти
Застосовуються при недостатній кістковій тканині або для фіксації протезів.
2. Одноетапна імплантація
Дозволяє встановити імплант і коронку за один візит.
3. Двоетапна класична імплантація
Спочатку встановлюється титановий стрижень, потім формується коронка.
Догляд після імплантації
Важливим етапом є догляд після встановлення імплантів. Основні рекомендації:
- Регулярна гігієна ротової порожнини
- Використання спеціальних щіток або іригаторів
- Контрольні візити до стоматолога
- Уникання надмірного навантаження на нові зуби в перший місяць

Найпоширеніші запитання пацієнтів
Багато людей мають питання перед процедурою імплантації. Ось відповіді на найпопулярніші з них:
- Чи болюча процедура? Сучасні методи і місцева анестезія роблять встановлення імплантів комфортним та безболісним.
- Скільки часу займає відновлення? Більшість пацієнтів повертається до звичайного ритму життя через 1–2 дні, а повне приживлення імпланту займає кілька місяців.
- Чи довговічні імпланти? Сучасні матеріали і правильний догляд дозволяють імплантам служити десятиліттями.
- Як підібрати коронку під натуральні зуби? Використання сучасних технологій і матеріалів забезпечує природний зовнішній вигляд та точне поєднання з існуючими зубами.
Сучасні методи відновлення посмішки роблять процес заміни втрачених зубів безпечним, ефективним і комфортним. Завдяки інноваційним технологіям сьогодні можна легко повернути природну посмішку, уникнути проблем із сусідніми зубами та відновити впевненість у собі.
на правах реклами
Радіо Трек: НОВИНИ