Час для змін – Водоліям, сильна інтуїція – Рибам: гороскоп на 11 лютого вівторок, 10 лютого 2026 22:00 Цікаві можливості – Близнюкам
Довго тримають форму й омолоджують на роки: 3 топові стрижки цієї зими(ФОТО) вівторок, 10 лютого 2026 21:40 За ними легко доглядати
В Україні хочуть ввести жорстку заборону в магазинах: що не можна буде купити вівторок, 10 лютого 2026 21:20 У Верховній Раді готують чергові нововведення
Улюблений салат усіх чоловіків! З’їдають за секунду і він ніколи не залишається на столі вівторок, 10 лютого 2026 21:00 Німецький картопляний салат
Графіки відключень на 11 лютого: хто на Рівненщині буде 16 годин без світла вівторок, 10 лютого 2026 20:50 Якщо станеться аварія, планові відключення не діятимуть
Іноземець розповів про найбільший жах при вивченні української мови вівторок, 10 лютого 2026 20:30 Саме це багатьох лякає
Переведення годинників змінили: з’явилося уточнення про літній час 2026 вівторок, 10 лютого 2026 20:15 Весною годинники переводять на годину вперед
Жінки будуть обурені: це «соромне» українське слово має несподіване походження вівторок, 10 лютого 2026 20:00 Існує версія, що воно потрапило в українську через польську мову
Обіцяв «вирішити» питання з ВЛК: На Рівненщині затримали військовослужбовця (ФОТО) вівторок, 10 лютого 2026 19:40 Йому загрожує до 8 років позбавлення волі
Як гріються іспанці взимку, не маючи центрального опалення? вівторок, 10 лютого 2026 19:20 У цю пору року у них теж буває досить холодно
«Звисатимуть бурульки, можливі зсуви снігу»: Українців попередили про небезпеку вівторок, 10 лютого 2026 19:00 Прогноз погоди на ближчі дні
Два українські слова, які неможливо перекласти на інші мови світу: що вони означають? вівторок, 10 лютого 2026 18:45 Пояснення експерта
Нові правила інклюзивного навчання в українських школах: Як проходитимуть уроки вівторок, 10 лютого 2026 18:30 Школи зобов’язані створювати інклюзивні класи за заявою батьків
Найвдаліші дати для весілля у 2026–2028 роках: коли шлюб принесе щастя та достаток? вівторок, 10 лютого 2026 18:00 Розкаже нумерологія
Коли краще йти в обмінник за валютою: українцям озвучили найвигідний період вівторок, 10 лютого 2026 17:40 Поради від експерта
«Лебедине озеро» замість новин: Навіщо його крутили в СРСР вівторок, 10 лютого 2026 17:20 Що приховували від глядачів
Про що попереджає голуб, який прилетів на підвіконня: народні прикмети вівторок, 10 лютого 2026 17:00 Прикмети наших пращурів
Штрафи до 1000 євро: Які продукти не дозволяють перевозити через кордон вівторок, 10 лютого 2026 16:45 Список і обмеження
Сьома спроба LAUD на Євробаченні: Скільки коштував номер і чи спробує знову? (ФОТО) вівторок, 10 лютого 2026 16:30 «Цього разу все щиро»
Вранці, в обід чи ввечері: коли гречка найкорисніша вівторок, 10 лютого 2026 16:15 Секрети правильного харчування
Життя перевернеться з ніг на голову: Назвали 4 знаки Зодіаку, кому скоро пощастить вівторок, 10 лютого 2026 16:00 Перевірте, чи є ви в цьому списку
Стару гривню можна продати за десятки тисяч: які монети цінують колекціонери вівторок, 10 лютого 2026 15:45 Усе через рідкісні різновиди та особливості карбування
Стосується тих, хто має вдома газ: надано уточнення про нові рахунки вівторок, 10 лютого 2026 15:30 Про оплату за послугу
Курс долара в Україні до кінця року зросте: експерт спрогнозував очікувані цифри вівторок, 10 лютого 2026 15:15 За словами фахівця, для цього існує достатньо передумов
Від нюду до хрому: модні відтінки для манікюру у лютому (ФОТО) вівторок, 10 лютого 2026 15:00 Модні відтінки нігтів 2026
5,5 млн грн за світло: росія виставила рахунок посольству України вівторок, 10 лютого 2026 14:45 Вони взагалі зачинене
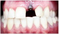
Сучасні методи відновлення посмішки: що варто знати про імплантацію вівторок, 10 лютого 2026 14:30 Одним із найпопулярніших методів є імплантація зубів, яка дозволяє відновити втрачені зуби максимально природньо
Допомога на поховання у 2026 році: Які суми виплачує держава вівторок, 10 лютого 2026 14:15 Як отримати компенсацію
Чим обприскати старі плодові дерева навесні, щоб не хворіли й не скидали зав’язь? вівторок, 10 лютого 2026 14:00 Найефективніший засіб для старих дерев
Понад 7 000 грн на картку: українцям пояснили, як отримати нову допомогу у лютому вівторок, 10 лютого 2026 13:40 Виплати можна оформити онлайн через сервіс «Дія»